Онколог РФ Борзяница перечислил семь симптомов рака мозга
Какие симптомы бывают у рака головного мозга, рассказал онколог Станислав Борзяница.
Он отметил в интервью Life.ru, что симптомами этого заболевания являются головная боль, судороги, нарушение координации, нарушения зрения и речи. Также на рак головного мозга могут указывать проблемы с памятью и расстройство личности.
Помимо этого, косвенными симптомами рака головного мозга могут быть слабость и онемение конечностей. Но важно понимать, что эти симптомы возможны и при других заболеваниях. Поэтому диагноз может поставить врач только после обследования.
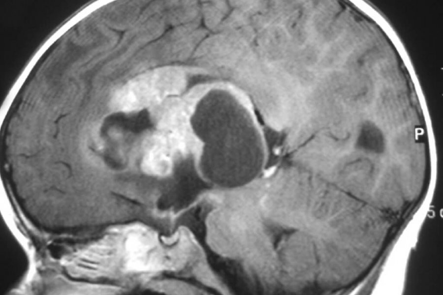
«Основными методами диагностики рака мозга являются компьютерная томография с контрастом (КТ), магнитно-резонансная томография (МРТ)», - сказал Борзяница.
По его словам, никаких методик защиты от рака мозга нет. Но важно вести здоровый образ жизни, следить за весом, правильно питаться, чтобы снизить шансы на его развитие.
Обсудим?
Смотрите также:
